日出全植牙
什麼是日出全植牙?
全口重建是我們的專長,針對全口缺牙或是全口鑲牙,需要全面整理,我們有一整套完整的診療模式。
全口重建有幾個特點:
考量複雜
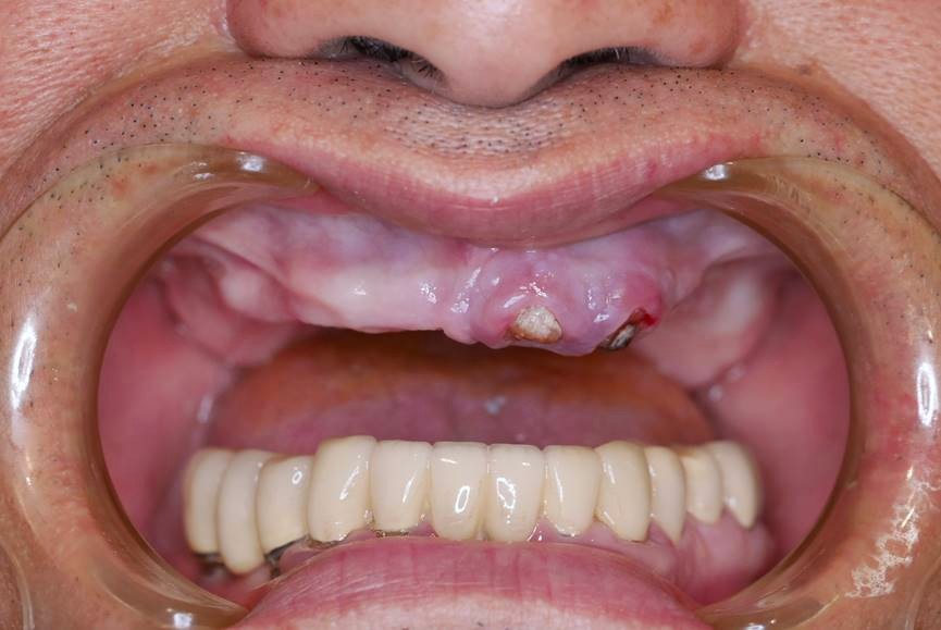
常聽見有人花了數十萬甚至百萬做了植牙全口重建,植牙過程順利但最後假牙裝上去後,咬不動、不好咬,或是咬了關節痛肌肉痛咬合不順。
這是因為植牙全口重建不僅是植牙而已,而是牽涉顳顎關節神經及咬肌,訓練咬合排利假牙位置,需要有經驗專業的假牙醫師,做全面綜合的考量,按步就班、細心每個步驟,才能完成令人滿意的植牙醫療成果,我們日出全植牙累積多年醫院全口重建的經驗。
建構了完整的全口植牙醫療流程,全方位的考量讓您吃得安心用的舒心!
樣式繁多
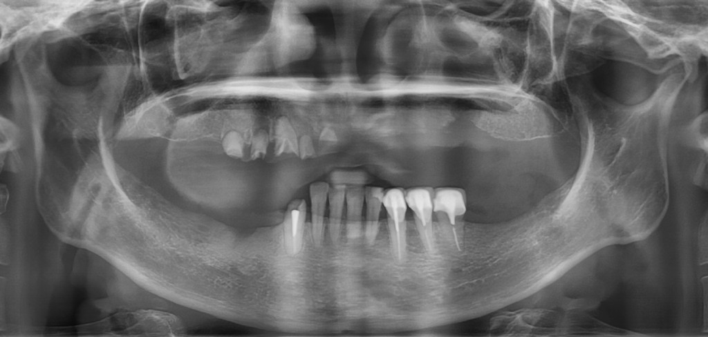
從建的方式有很多種,有固定的、有活動的,有種4顆、有種6~16顆。假牙有些有牙齦有些沒有,有分段式有全口。
不同的植體考量及假牙設計各有優缺點,與年齡、咬力大小的其條件、各人需求、預算考量、飲食習慣、心理因素等等綜合考量。
全口植牙治療計畫,量身訂做不是越貴的越好,沒有最佳的全口植牙方案,只有最適合的全口植牙治療計畫。
我們日出全植牙的全口植牙療程,不只建立在成熟的科技頂尖技術上,更著重於術前的資料收集、全面診斷、充分考驗溝通上。
我們有熱情的全口植牙團隊,在術前會花費大量時間,與您討論出最適合您的全口植牙。方向對了,才能事半功倍。
長期照護
沒有東西是永久是不會壞的,身體的東西更是如此,口腔是很複雜的環境。
植牙假牙泡在口水裡,每天使用是每次承受咬合力挑戰,加上口內細菌繁多,每個人體質不同,牙肉骨頭萎縮,所以全口植牙的長期照護維修尤為重要。不僅在計畫之初就要想到日後可能產生的問題、解決方法、維修的便利性。
醫師及診所端重要性,有長期負責的心態,接了植牙全口重建就是接一輩子的承諾,多年甚至超過20年的全口植牙重建病人竟成朋友的關係,有了這種建立長期醫療良好的關係的心態



