關於日出
日出理念
日出環境
醫療團隊
診療項目
日出輕植牙
日出全植牙
日出輕矯正
日出微貼片
醫療光明燈
植牙光明燈
美齒光明燈
矯正光明燈
我想諮詢
首頁
日出輕矯正
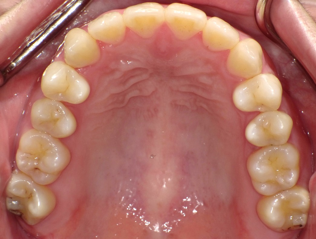
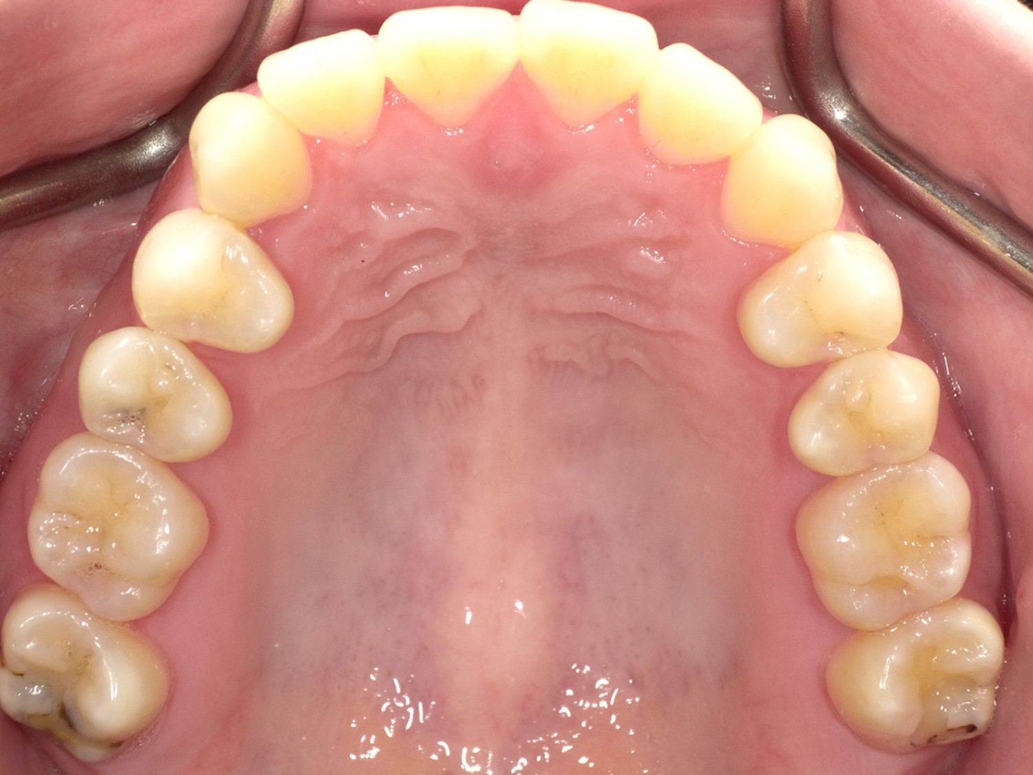
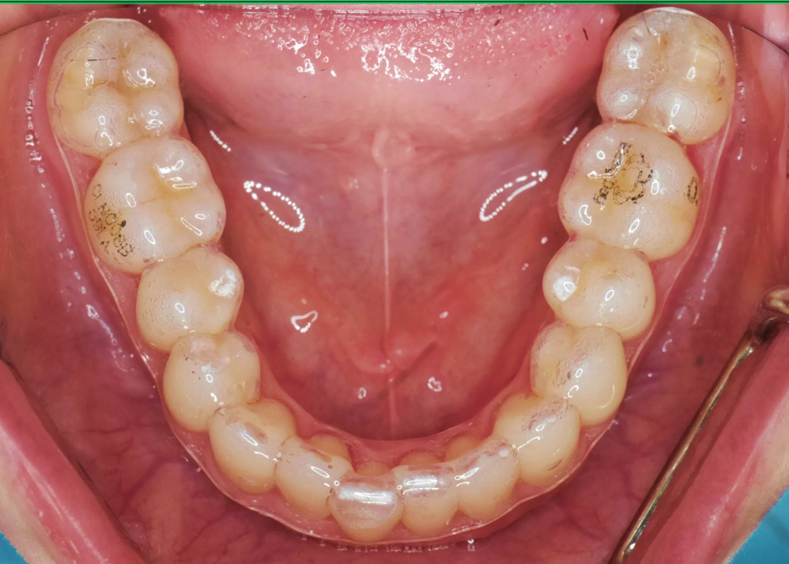
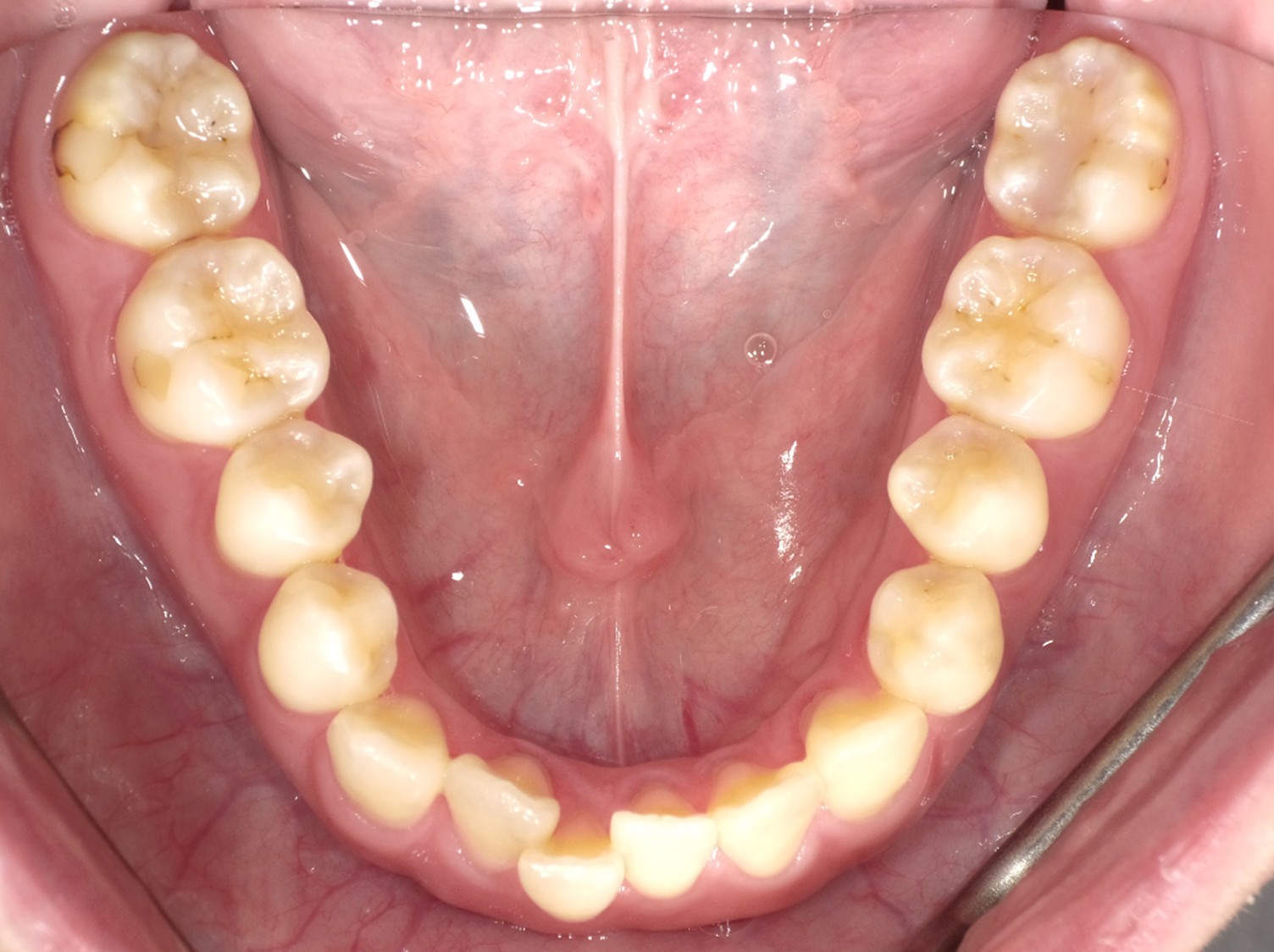
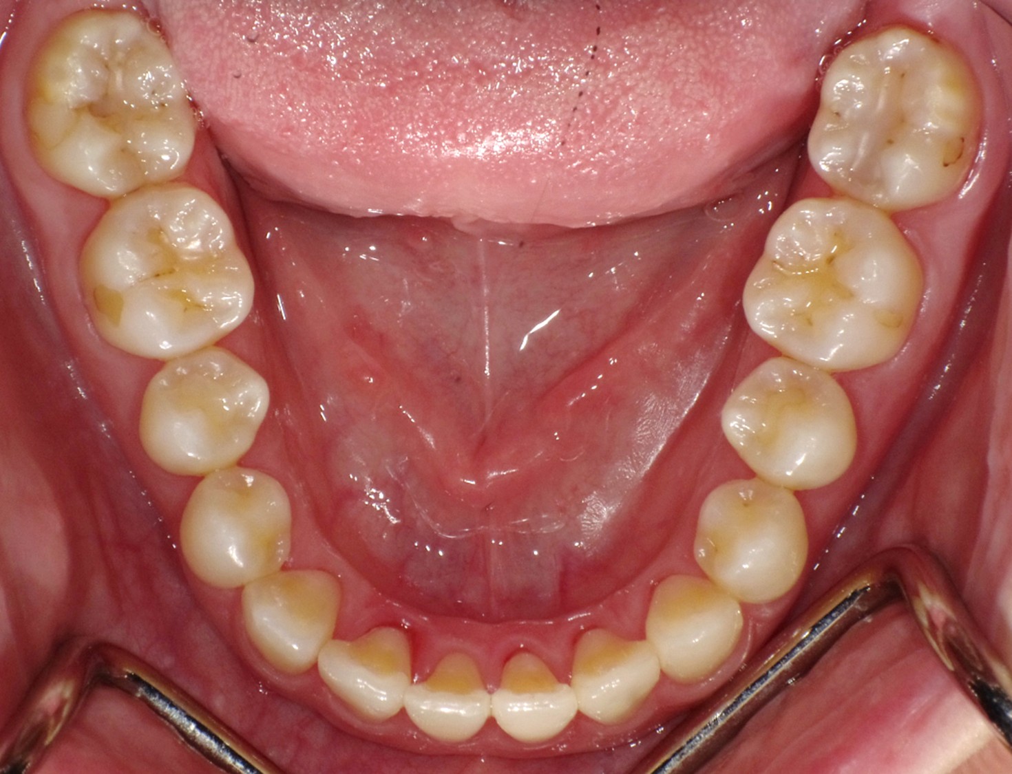
前牙排列不齊
前牙排列不齊
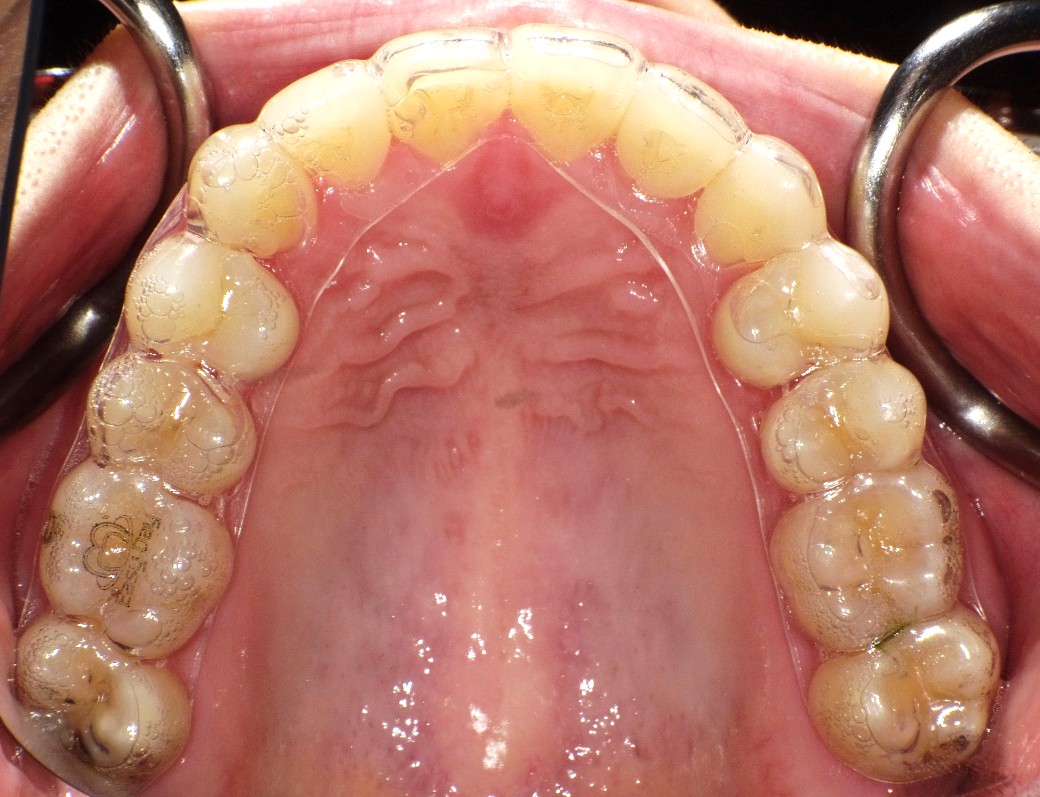
無拔牙 自然排齊
前
中
後